聚乙烯蜡厂家分析PVC为什么使用加工助剂?
PVC制品已经成为我们日常常见的塑料之一,在塑料加工中,为了提高PVC的加工性能,通常加入一些助剂来改善,下面青岛赛诺聚乙烯蜡厂家就对添加助剂对PVC加工的好处做详细阐述。
聚氯乙烯 (PVC) 由于具有优异的化学性能和物理机械性能成为成本最低,用量最高的通用树脂之一。PVC可采用各种主要的加工工艺进行加工,例如,挤出,混炼,注射模塑,以及吹塑成型。
PVC的热分解温度接近于它的加工温度,因此添加象热稳定剂,增塑剂,抗冲击改性剂及加工助剂等助剂是必要的。
PVC的加工性能并不是很好,加工助剂很独特,只需添加少量就能大大改善PVC的加工性能。
加工助剂通常能够带来以下的好处:

注塑成型可能是PVC 加工工艺中对熔体粘度要求最苛刻的一种工艺。当壁厚降低或者部件尺寸增大时,流动性则需要提高。
此外,注射螺杆比常用挤出机提供的剪切要小,因此需要保证凝固成形时间要短。
脱模性的好坏是加快注射循环和提高产量的首要因素。
加工助剂的用处在于:
· 减少了注射量 : 当 PVC 熔体的粘度较低时,模腔中就会充满挤压的物料。一旦冷却,注射的痕迹可能保留在材料内部, 从而引起残余应力及各向异性。加工助剂由于具有一定的弹性,有助于物料均匀的充满模腔。

表面光泽更好 : 熔体弹性的改善意味着物料与模腔壁具有良好的接触,同时还意味着制品表面更加光滑而有光泽。

快速熔融
· "白纹"的下降 : 材料的冷却从模腔壁开始,而在这个过程中,最热的部分仍然是在注射口处。当熔体的弹性较差时,模糊的白色微小裂纹(“白纹”)可能就会在注射口处出现,这是由于存在一个从热区到冷区的一个应力场。当体系中引入了加工助剂以后,物料的弹性就能得到改善,这些裂纹也就会消失。
· 焊接强度的改善: 在存在丙烯酸加工助剂的情况下,流动熔体光滑的末端增强了焊接强度。


防粘,模头组合
含有苯乙烯的分子量较低的丙烯酸类共聚物在 PVC 中的溶解度较低。因此,助剂有迁移到表面的趋势,并且会在金属及聚合物之间形成一个微层。加工助剂产品就充当了外部润滑剂。
带来的好处有:抗粘结性能,口模粘结降低,脱模性能提高。
下图描述了口模中内部润滑剂与外部润滑剂对聚合物熔体流动的影响。


不同制品的加工助剂用途:
热成型工艺并不是一条直接的 PVC 加工路线,因为原材料已经是一种类似压延薄膜或挤出薄膜的半成品。然而,这个加工过程包括在一定温度下对材料的加热,在这个温度下,加工助剂将有助于控制物料的物理机械性能。
加工助剂的用处在于 :
加工助剂有助于 PVC 膜热成形很深的结构形状: 预加热薄膜的断裂应力及拉伸强度因助剂的分子量较高而可以得到提高。

低粘度牌号的助剂可使 PVC 树脂获得很高的伸长率,但不能改善物理机械性能。当要求低粘度时,如 PVC/乙烯醋酸酯共聚物, 或者用于真空成型时,我们推荐使用低粘度牌号助剂。

挤出成型是 PVC 加工工艺中使用最广泛的: 窗框, 窗板, 雨水檐漕,管道, 电缆, 透明及不透明片材等。
成型加工会用到多种不同类型的挤出机,有时甚至是在同一个地方加工同种制品就会用到如单螺杆,平行双螺杆及锥形双螺杆等多种挤出机。因此,设计配方时,加工条件的限制就变小了。
丙烯酸类加工助剂添加到PVC的配方中有利于实现这种挤出机使用的灵活性,并控制最终产品的物理性能。
加工助剂的用处在于:
· 熔体的弹性和出口膨胀随着加工助剂分子量的增加而提高。挤出物料很好的充满了模腔,并且会均匀地接触到模腔壁。

· 由于熔体的快速冷却以及较高的弹性,鲨鱼皮现象减少甚至消失了。

· 表面光泽有所改善, 尤其是当脱模系列助剂与其他高分子量系列助剂并用时。
· 熔体中较高的摩擦导致透明PVC及韧性PVC中“鱼眼”有所下降。
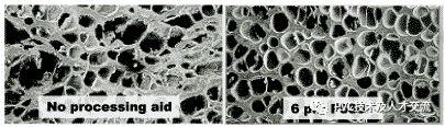
硬质 PVC 发泡材料的挤出工艺对熔体物理机械性能的要求很苛刻:如果熔体没有足够的强度,气泡就会破裂或者转移到表面,从而导致密度高,微胞结构不规则,以及表面不平整等现象。
因此,这方面的应用要求配方中使用高级别的加工助剂。
加工助剂带来的好处在于 :
· 体系中含有丙烯酸类的加工助剂时,熔体强度就会大大提高: 气泡就会保留在熔体中,从而就可以获得低密度的发泡材料;


微胞不会破裂,可以得到一种精细的规则结构。

由于气体不会从熔体中逸出,材料表面就尤其地光滑而且有光泽。 这对于用作显示标志的自由发泡板材尤为适用。
· 丙烯酸类加工助剂为熔体带来了很高的弹性及口模胀大: 结果, 成为唯一适于成型厚壁制品及降低内内向泡孔之间空隙的助剂牌号。


当低分子量的 PVC (Kw 58 to 60) 通常用于这样的制品: 丙烯酸类加工助剂充当了有力的剪切传递剂,而且也有利于所有助剂的均匀分散,包括吹塑剂。
吹塑成型是制作各种各样塑料瓶最常用的加工方法,从几立方厘米大的的化妆品瓶到能装几升水的大容器都不例外。
吹塑成型的加工方法产量很高,一般每小时能做出几千个瓶子。因此,良好的脱模能力是至关重要的。
至于终端的用户,瓶子的视觉效果是关键:不能有鱼眼,不能有流痕,透明性好等....
加工助剂的用处在于:
· 凝固成形过程加速:尽管对于 MBS 大多数的情况,加工助剂的影响不那么明显,但对于含Ca/Zn稳定剂的配方,加工助剂的效果仍然很显著。众所周知,含Ca/Zn稳定剂的体系的凝固速度要比含锡稳定剂体系的慢。
· 沿着挤出机的方向,熔体会获得更强的剪切,而鱼眼现象也有所降低。
· 熔体强度得到改善:物料拉长现象降低,这样就能得到从头到尾厚度均匀的样品。

熔体具有更好的弹性,物料就能够容易在空气压力下发生变形直到与模腔壁接触为止。
· 如果有丙烯酸类的加工助剂,模腔的残料就会有所减少,脱模能力更加优异。
青岛赛诺专注聚乙烯蜡等助剂的研发、生产、应用工作,为您提供抗析出、高润滑、超分散的产品体系。公司拥有成熟的技术研发团队,拥有先进的实验室对外开放,为有需求的客户提供配方优化、降本增效等技术支持,同时为顺应环保要求,我们还为企业提供助剂一包化、助剂无尘化服务。
相关产品:赛托蜡、低聚物、聚乙烯蜡、EBS、光亮分散润滑剂、环保稳定剂专用蜡、硬脂酸锌、抗氧剂、氧化聚乙烯蜡
文章来源:青岛赛诺 编辑:青岛赛诺
版权所有,转载请注明出处:www.qdsainuo.com












